Dental prosthetics
consists in rebuilding damaged or missing teeth. The lack of even a single tooth should be replaced as it prevents tooth displacement, malocclusion, and temporomandibular joint dysfunctions. The dentist and you selectthe appropriate prosthetic restoration.
Why is it so important to restore missing teeth?
Missing teeth left without restoration result in:
They allow for the reconstruction of badly damaged teeth, also after root canal treatment. A prosthetic crown allows you to rebuild the tooth and strengthen it at the same time.
The tooth needs to be ground under the prosthetic crown – under local anesthesia, thanks to which the procedure is painless.
Porcelain crown on metal
The cheapest, but the least aesthetic. Due to the presence of metal, metal-based crowns give way to all-ceramic crowns or zirconium oxide crowns in terms of aesthetics. The metal is not visible under the porcelain, but it does not allow for the translucency effect provided by all-ceramic crowns or crowns on a zirconium oxide substructure. Nevertheless, they work well in the posterior segment.
Full ceramic crown
All-ceramic crowns do not have a metal structure, which may cause a bruising of the gingiva around the tooth neck. The light on the crowns behaves in a natural way, typical for your own teeth. All-ceramic crowns make it possible to recreate the features of enamel translucency and natural light reflections. Perfect aesthetics, the ability to recreate the translucency of enamel. The light penetrates the crowns just like real teeth, which makes them look natural
Full ceramic crowns with zircons
Zirconium oxide – is used in the thermal shields of spacecraft, brake linings of sports cars and hip implants. . Due to its aesthetic values and high mechanical strength, zircon has been conquering dental markets around the world in recent years. Its white color allows to give prosthetic restorations a nicer color. Zirconium has a high level of biocompatibility.
Zirconium oxide crowns not only provide excellent aesthetic results, but are also very durable and durable.


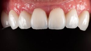
Ceramic veneer
The veneer is cemented onto the properly prepared labial surface of the front teeth. Veneers are most often chosen to correct the shape and color of dead, permanently discolored, incorrectly positioned, damaged teeth, and to remove gaps between the teeth (diastia).
Veneers reflect light in the same way as natural teeth. Contrary to crowns, they do not artificially thicken the teeth or require a complete grinding of your teeth.
The first stage of treatment is to take wax-up impressions (Italian model of veneers).
On its basis, the shape and length of the veneers are selected together with you. On its basis, in the final stage, the technician makes porcelain veneers.


